Blanchiment et facettes céramiques
Blanchiment
Micro-abrasion amélaire
Restauration en composite



Bridge complet maxillaire et chirurgie gingivale d'alignement
bridge maxillaire et appareil avec attachement
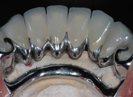
Appareil complet haut / prothèse combinée bas
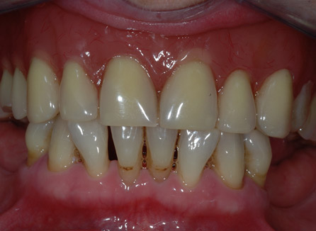
Extraction des 2 incisives centrales infectées et réalisation d'un bridge céramo-métallique de 6 éléments
2 facettes sur prémolaires
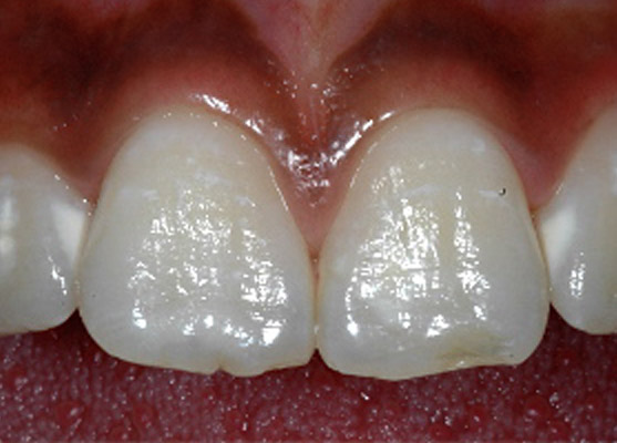
4 facettes et bridge tout céramique
Blanchiment et facettes céramiques

Blanchiment et 4 facettes supérieures
Facettes et couronnes tout céramique
Couronnes céramiques maxillaire
Correction du sourire par chirurgie et céramique

Traitement d'un sourire gingival

E-Max
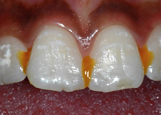
Carie débutante, révélateur et Duraphat
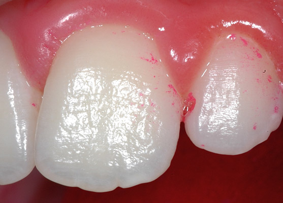
Leucome précarieux, traitement par Duraphat
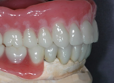
4 implants mandibulaires, barre et appareil complet