
Non. Les facettes recouvrent uniquement la face externe des dents alors que les couronnes toute la dent. Par contre, il est plus esthétique de remplacer une couronne classique par une couronne entièrement en céramique.
Dans certains cas, il est possible de coller une facette pour réparer une fracture de céramique sur une couronne ou sur un bridge si l'épaisseur de la céramique le permet.
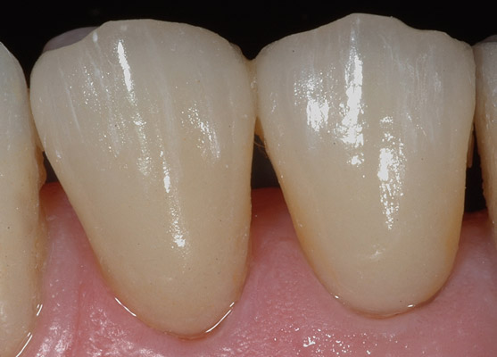
Il est très difficile de détecter la présence de facettes.
Les facettes sont lumineuses et naturelles car la réflexion de la lumière est semblable à celle de l'émail dentaire.
Non, un entretien normal est suffisant. Les facettes sont intégrées aux dents naturelles. Il suffit de se brosser les dents matin et soir.
Bien entendu, une visite annuelle de contrôle est recommandée.
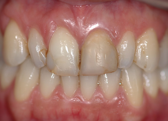
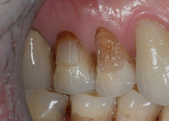
Non. La facette est entièrement en porcelaine. Il n'y a jamais de gencive noircie : au contraire, la texture extrêmement lisse des facettes prévient toute irritation de la gencive.
Oui, il n'y a aucun problème. La facette est littéralement soudée à la dent.
Oui. Il peut y avoir des sensibilités résiduelles après la pose de facettes mais elles disparaissent rapidement.
Il faut une première consultation au cours de laquelle le diagnostic est posé. Puis 2 rendez-vous, espacés de 4 à 7 jours sont nécessaires. Parfois, si le cas est compliqué esthétiquement, un essayage des facettes à l'état de biscuit peut être utile. Il faut donc parfois 15 jours pour un traitement complet.
Cela dépend du nombre de facettes et du niveau de difficulté. Pour traiter les 6 dents antérieures, il faut compter 2 heures pour le première séance, et 1h30 pour la seconde.
Les premières facettes ont été posées il y a près de 20 ans : la céramique perd un peu de son brillant, mais leur résistance reste excellente.
Non, l'émail est taillé définitivement... Donc, cette technique ne permet pas de revenir en arrière. Quoiqu'il en soit, les facettes améliorent l'esthétique générale du sourire. Il n'y a aucune raison de vouloir retrouver les défauts qui ont justement nécessité ce protocole esthétique.
Non, les interventions se font sous anesthésie locales.
Le coût d'une facette céramique est sensiblement supérieur au coût d'une couronne céramo-métallique.
La réalisation d'une facette céramique est extrêmement délicate au laboratoire de prothèse.
Elle demande une touche artistique supérieure à celle nécessaire pour une couronne céramo-métallique. Le temps de fabrication est très long et minutieux.
Au cabinet, la préparation demande une grande expérience et le collage doit être très rigoureux.
Des photos sont réalisées préalablement au travail permettant ainsi une collaboration étroite avec le prothésiste.
Au cabinet dentaire, cette technique d'avant-garde exige une très grande habileté et une compétence maîtrisée.
La pose des facettes n'est pas prise en charge par la Caisse d'Assurance Maladie, c'est un acte hors nomenclature.